- Location
- Sydney, Australia
So sorry to read this, I hope you can get to the bottom of it quickly 


Hmmm I don't know... I know there are myriad problems that can affect feet. The vet seemed most concerned about the objects between the toes. She felt that Pops shows signs of pain when she manipulated the middle toe.I'm wondering, is that the soft tissue between the toes, and if so, do dogs get Morton's neuromas?



No, not really.How is Poppy? Are you seeing any improvement?
Hunter sends gentle hugs x
Sounds like you need to invest in some boots to stop injury on his walks or maybe he has some auto immune problem?Do Poppy’s front toes spread out when she stands on them, or are they tightly held together?
Snowie’s are splayed. Back ones are tight. I think the splayed toes leave them open (literally!) to thorns etc cutting the skin. I just found another abscess/sore on another toe. Started the Bioscrub paw baths today. If no improvement in a few days, back to the vet again. He’s also limping on and off and I think it’s these darned infected sores he gets in his toes.
Yes, vet recommended booties. Just so hard to get them here!Sounds like you need to invest in some boots to stop injury on his walks or maybe he has some auto immune problem?
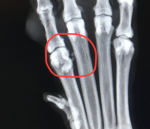
Poppy's toes are tight, both front and back. But she is holding her left front leg slightly out to the side now. Cortisone does not seem to have done anything; back to the vet tomorrowDo Poppy’s front toes spread out when she stands on them, or are they tightly held together?
Snowie’s are splayed. Back ones are tight. I think the splayed toes leave them open (literally!) to thorns etc cutting the skin. I just found another abscess/sore on another toe. Started the Bioscrub paw baths today. If no improvement in a few days, back to the vet again. He’s also limping on and off and I think it’s these darned infected sores he gets in his toes.
Snowie does the same when it’s sore.holding her left front leg slightly out to the side now
